

ENSURE PATIENT HAS COMPLETELY FILLED OUT THE CARDIAC WORKSHEET. IF ANY AREA IS LEFT BLANK MAKE SURE TO VERIFY ALL QUESTIONS
PROPERLY EXPLAIN IN DETAIL WHAT WILL OCCUR DURNG THE EXAM SO THAT THE PATIENT FEELS COMFORTABLE AND HAS TIME TO ASK QUESTIONS
DOCUMENT THE PATIENTS BLOOD PRESSUE, HEART RATE, AND THE NAME, DOSE AND TIMES TAKEN OF BETA BLOCKER PRESCIBED (IF ANY) PRIOR TO STARTING IV. THE GOAL IS TO HAVE THE PATIENTS HEART RATE AT 64 BPM OR LOWER FOR THE EXAM
IMPORTANT DETAIL: EXAM CAN BE PERFORMED WITH A HEART RATE ABOVE 64 BPM WITHIN REASON, AND THE PATIENTS HEART RATE IS CONSITANT. IF YOU ARE UNSURE IF YOU SHOULD PROCEED, REACH OUT TO CLINICAL LEADERSHIP OR CARDIAC RADIOLOGIST FOR GUIDANCE
ONCE ALL PRIOR INFORMATION HAS BEEN VERIFIED AND ARE ABLE TO PROCEED WITH EXAM. START A 18 GAUGE IV IN THE RIGHT ARM. FOR BEST RESULTS AN INJECTION RATE OF 5CC/SEC IS RECOMMENDED. IF YOU DO NOT FEEL A 18 GAUGE IS POSSIBLE OR HAVE MADE AN ATTEMPT REACH OUT TO CLINICAL LEADERSHIP FOR GUIDANCE
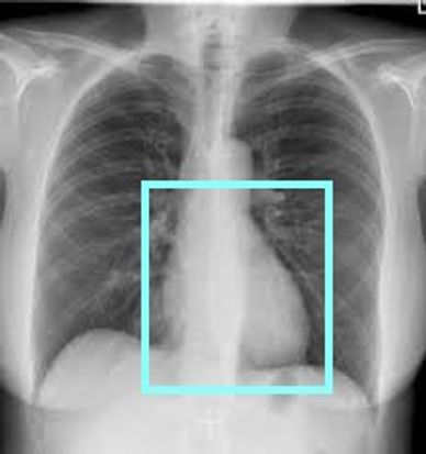
ONCE IV HAS BEEN PLACED, POSITION PATIENT WITH BOTH ARMS UP AND PERFORM A ROUTINE CARDIAC CALCIUM SCORE. REMEMBER TO KEEP YOU FIELD-OF-VIEW (FOV) TO 25CM FOR GE OR 250MM FOR SIEMENS
IMPORTANT DETAIL: IF THE PATIENT HAS HISTORY OR CARDIACT STENT, CABG, ECT.. DO NOT PERFORM CALCIUM SCORE EVEN IF ORDERED AS IT WILL GIVE A FALSE POSITIVE READING. DOCUMENT WHY CALCIUM SCORE WAS NOT PERFOMED IN YOUR TECH NOTES.
ADMINISTER 400mcg OF SUBLINGUAL NITRO SPRAY UNDER THE PATIENTS TOUNGE. WAIT APPROXIMATELY 5 MINUTES FOR IT TO TAKE AFFECT BEFORE CONTINUING (EXPLAIN TO THE PATIENT THAT NITRO IS A VASODILATOR AND CAN CAUSE A TEMPORARY HEADACHE WHICH QUICKLY RESOLVES)
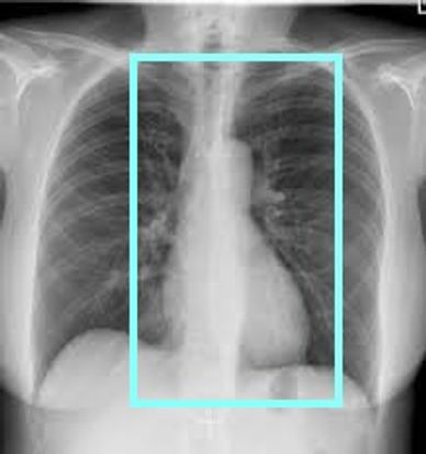
FOR ACQUISITION OF THE CCTA ENSURE THE SMALLEST FOV POSSIBLE TO ENSURE THE BEST SPACIAL RESOLUTION. SCAN SHOULD EXTEDND FROM THE CARINA THROUGH THE APEX OF THE HEART (SHOWN BELOW)
IMPORTANT DETAIL: IF THE PAITENT HAS A HISTORY OF CARDIAC STENTS/CABG SCAN SHOULD START FROM THE THORACIC INLET THROUGHT THE APEX OF THE HEART. MAKE SURE TO DOCUMENT THIS IN YOUR TECH NOTES.
ONCE EXAM HAS BEEN COMPLETED AND ALL IMAGES HAVE BEEN VERIFIED IN PACS YOU MUST GET EXAM CLEARED BY A RADIOLOGIST BEFORE RELEASING THE PATIENT.
MAKE SURE TO HIGHLIGHT
REASON FOR EXAM:
AMOUNT OF CONTRAST/SALINE USED:
BETA BLOCKERS NAME:
BETA BLOCKERS DOSE:
HR DURING ACQUISITION:
NITRO SPRAY DOSE:
PRE SCAN HR:
POST SCAN HR:

CALCIUM SCORE FOV.

BOLUS TRACKER/SMART PREP/ROI

ROI/TRACKER/SMART PREP
A FOV OF 25(GE) 250(SIEMENS) IS REQUIRED FOR SOFTWARE TO POST PROCESS
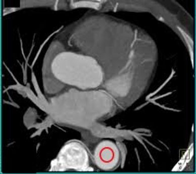
PLAN YOUR BOLUS TRACKER/SMART PREP/ROI JUST BELOW THE CARINA
SET THE ROI IN THE DESCENDING AORTA. SCAN SHOULD BE SET TO TRIGGER WHEN THE AORTA REACHES 160HU.

CCTA ACQUISION
ACQUISITON IN THE THINNEST SLICE POSSIBLE. MOST SCANNERS WILL ACQUIRE AT 75% PHASE. WITH ADDITIONAL REONCS REQUIRED AT 10-20%,20-30%,30-40%,40-50%,50-60%,60-70%,70-80%,80-90%,90-100%

CALCIUM SCORE FOV.

BOLUS TRACKER/SMART PREP/ROI

ROI/TRACKER/SMART PREP
IF PATIENT HAS A HX OF STENT OR GRAFT DO NOT PERFORM CALCIUM SCORE
PLAN YOUR BOLUS TRACKER/SMART PREP/ROI JUST BELOW THE CARINA
SET THE ROI IN THE DESCENDING AORTA. SCAN SHOULD BE SET TO TRIGGER WHEN THE AORTA REACHES 160HU.

CCTA ACQUISION
ACQUISITON IN THE THINNEST SLICE POSSIBLE. MOST SCANNERS WILL ACQUIRE AT 75% PHASE. WITH ADDITIONAL REONCS REQUIRED AT 10-20%,20-30%,30-40%,40-50%,50-60%,60-70%,70-80%,80-90%,90-100%
We use cookies to analyze website traffic and optimize your website experience. By accepting our use of cookies, your data will be aggregated with all other user data.